Colapso traqueal en gatos: Causas, síntomas y tratamiento
Si has observado a tu gato toser o jadear de forma repentina, es posible que esté sufriendo un colapso traqueal. Aunque este problema puede ser grave, con el tratamiento adecuado se puede recuperar la salud del gato.
En este artículo te explicamos qué es el colapso traqueal en gatos, cuáles son sus causas y síntomas, y cómo puedes ayudar a tu gato a recuperarse.
¿Qué es el colapso traqueal en gatos?

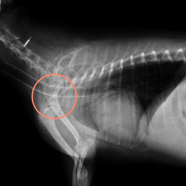
El colapso traqueal es una enfermedad que consiste en la compresión de la tráquea, el conducto que lleva aire desde la nariz hasta los pulmones. En consecuencia, la tráquea se estrecha y el gato no puede respirar.
El colapso traqueal puede afectar también a los perros. Los síntomas en gatos y perros son similares, aunque los gatos son más propensos a sufrir este problema.
Causas del colapso traqueal en gatos
Las causas del colapso traqueal en gatos pueden ser diversas, pero las más comunes son:
- Una obstrucción en la tráquea
- Un nódulo en la tráquea
- Lesiones traqueales
- Problemas congénitos
- Inflamación de la tráquea
- Traumatismo en el cuello o problemas en la pared traqueal
- Tumores de los ganglios linfáticos o del cuello
Síntomas del colapso traqueal en gatos
Los síntomas del colapso traqueal en gatos son:
- Tos
- Jadear
- Dificultad para respirar
- Náuseas y vómitos
- Debilidad
- Pérdida de apetito
- Sudoración
Si observas alguno de estos síntomas en tu gato, es posible que esté sufriendo un colapso traqueal. Lleva a tu gato al veterinario inmediatamente para que le realice una evaluación y pueda recibir el tratamiento adecuado.
Tratamiento del colapso traqueal en gatos

El tratamiento del colapso traqueal en gatos dependerá de las causas que lo han provocado. En caso de que la causa sea un tumor, se recurrirá a la cirugía para poder extirpar el tumor. Si la causa es una obstrucción en la tráquea, se puede intentar retirarlas con una endoscopia.
En casos en los que las causas del colapso traqueal sean inflamatorias, el veterinario podrá recetar medicamentos antiinflamatorios y de apoyo.
También es importante que el gato se mantenga hidratado y que reciba alimentación equilibrada.
En caso de que el gato no quiera comer, se puede recurrir a la alimentación por sonda.
Deja una respuesta


QUIZÁS TE INTERESE LEER: